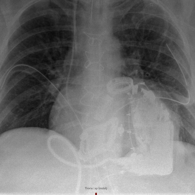
An diesem Freitag (2. August) vor genau zehn Wochen wurde einer Patientin im Klinikums Links der Weser erstmals ein Total Artificial Heart (TAH) – also ein komplett künstliches Herz implantiert. Vor einer Woche konnte die 48-Jährige Frau aus Twistringen nach Hause entlassen werden. Damit ist sie die weltweit einzige Frau, die nun in häuslicher Umgebung mit einem TAH lebt.

Erstes Wiedersehen mit Kunstherzpatientin
Die 48-Jährige ist die weltweit einzige Frau, die nun zuhause mit einem TAH lebt. Beim ersten Klinikbesuch nach ihrer Entlassung hat sie ein besonderes Dankeschön für das Klinikteam mitgebacht.
Wenige Tage nach der Entlassung aus dem Klinikum Links der Weser gab es bereits ein Wiedersehen mit dem Klinikteam zur ersten routinemäßigen Visite. Und zur Überraschung des Klinikteams hatte die Patientin neben anderen Köstlichkeiten auch ein ganz besonderes Dankeschön dabei: eine Lebensretter-Torte. Damit bedankte sich die Frau für die lebensrettende Hilfe in den vergangenen Wochen bei allen, die an der besonderen Kunstherztherapie beteiligt waren.
Ihr erkranktes Herz war Ende Mai vom Herzchirurgie-Team in einer etwa fünfstündigen Operation entnommen worden. Mit dem Aeson Carmat-Kunstherz wurde ihr das weltweit einzig zugelassene TAH implantiert. Sie war der 65. Mensch weltweit und die erste Frau, die diese moderne Kunstherzsystem bekommen hat. „Der Patientin geht es sehr gut, sie ist gut belastbar und sie fühlt sich in der Häuslichkeit sehr wohl“, berichtet Chefarzt Prof. Dr. Jens Garbade.
Das könnte Sie auch interessieren
Die aktuelle Ausgabe unseres Magazins gesund mal 4
Erhältlich in Apotheken, Arztpraxen und natürlich in unseren vier Krankenhäusern. Diese Ausgabe ist als Download verfügbar (per Klick auf das Cover)
abgehorcht – die Kolumne
In unserer Kolumne „Abgehorcht“ berichten unsere Autoren über die alltäglichen Versuche gesünder zu leben. Und darüber, warum das am Ende oft doch nicht klappt.
Kolumne „Abgehorcht“ lesen
Beliebteste Beiträge
Gesundheit Nord – Klinikverbund Bremen
Klinikum Bremen-Mitte
St.-Jürgen-Str. 1
28205 Bremen
Fon 0421 497-0
Klinikum Bremen-Nord
Hammersbecker Straße 228
28755 Bremen
Fon 0421 6606-0
Klinikum Bremen-Ost
Züricher Straße 40
28325 Bremen
Fon 0421 408-0
Klinikum Links der Weser
Senator-Weßling-Straße 1
28277 Bremen
Fon 0421 879-0

















