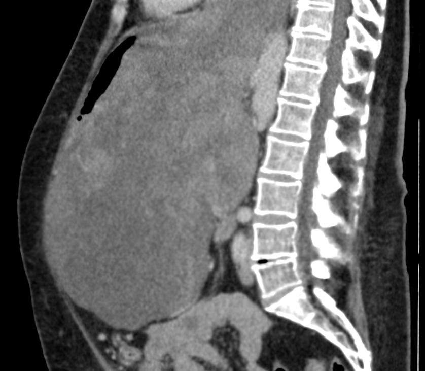
Beim Blick auf die Bilder aus dem Computertomografen mussten die Fachleute gleich zwei Mal hinschauen. Nicht etwa, weil das, was sie darauf sahen, so schwer zu entdecken war. Ganz im Gegenteil. Der Tumor, den sie auf dem Bild betrachten konnten, war derart groß, dass die Fachleute es kaum glauben konnten. Im Bauch der Patientin hatte sich ein 8,5 Kilogramm schwerer Tumor breitgemacht. Er war so groß geworden, dass er Organe wie Leber und Magen sowie den Darmtrakt an den Rand der Bauchdecke drängte. Durch eine Lücke im Zwerchfell ragte er sogar in den Brustkorb hinein. Im Klinikum Bremen-Mitte hat Prof. Dr. Hüseyin Bektas diesen rekordverdächtigen Tumor nun Anfang April in einer aufwendigen OP mit seinem Team entfernt.

Chirurgen am Klinikum Bremen-Mitte entfernen riesigen Tumor
Es war ein außergewöhnlicher Eingriff: Eine 8,5 Kilogramm schwere, bösartige Geschwulst stellte Prof. Dr. Hüseyin Bektas und sein Team vor eine ganz besondere Herausforderung. Die Patientin lebte monatelang mit besonders ausgeprägter Form von Magenkrebs, ohne dass sie es richtig bemerkte.

Bektas ist Chefarzt der Klinik für Allgemein-, Viszeral- und Onkologische Chirurgie im Klinikum Bremen-Mitte und hat in seiner langen Laufbahn bereits viele besondere Eingriffe erlebt. „Ein Fall mit einem Tumor dieser Größe war bisher noch nicht dabei“, sagt der Chirurg. Da der Tumor vom Magen aus auch schon Speiseröhre und Bauchspeicheldrüse befallen hatte, mussten diese teilweise – die Milz sogar komplett – mitentfernt werden. „Es war eine außergewöhnliche Operation für das gesamte Team“, sagt Bektas. Von dem großen Eingriff musste die Patientin sich zunächst erholen, am nächsten Tag folgte dann die Rekonstruktion des Magen-Darm-Trakts. So wurden dabei kleine Tumorreste entfernt und aus dem übriggebliebenen Magen ein Magenschlauch gebildet, der an die Speiseröhre angeschlossen wurde.
Was bei der Größe des Tumors fast unglaublich zu sein scheint: Die Patientin hatte bis vor wenigen Monaten mit dem Tumor gelebt, ohne ihn wirklich zu bemerken. Als es der 65-jährigen Frau dann zunehmend schlechter ging, sie kaum noch Nahrung zu sich nehmen konnte und so innerhalb von drei Monaten 22 Kilogramm abnahm, wurde sie von ihrem Arzt ins nächstgelegene Krankenhaus zur genaueren Diagnostik überwiesen. Mit dem dringenden Verdacht auf einen extrem großen Tumor wurde sie von dort aus dann an das Onkologische Zentrum des Klinikums Bremen-Mitte weitergeleitet, wo das Chirurgie-Team sie letztlich von dem riesigen Tumor befreite.
Im Klinikum Bremen-Mitte erholt sie sich nun von den Strapazen, konnte von der Intensiv- bereits auf eine Normalstation verlegt werden. „Es geht ihr den Umständen entsprechend gut“, sagt Prof. Dr. Hüseyin Bektas. „Sie kann essen und trinken – und ein normales Leben führen.“ Die Patientin sei nun erst einmal gerettet. Da es sich um einen malignen, also bösartigen Tumor handelte, besteht zwar die Gefahr, dass der Tumor wiederkommen kann. „Hier im Onkologischen Zentrum haben wir aber alle Voraussetzungen, sie bestmöglich weiter zu versorgen und den Tumor bei einer möglichen Rückkehr früh zu bekämpfen“, sagt Bektas.
Zwei riesige Tumore in einer Woche
Was die Woche für die Allgemein-, Viszeral- und Onkologische Klinik im Klinikum Bremen-Mitte noch außergewöhnlicher machte: Binnen weniger Tage hatte das Chirurgie-Team nicht nur den 8,5 Kilogramm schweren Tumor bei einer Patientin entfernen müssen. Wenige Tage später kam ein weiterer Patient mit einem ähnlichen Tumor: 5,5 Kilogramm wog dessen Geschwulst, die zunächst nicht operabel schien, das OP-Team schließlich aber auch hier alle sichtbaren Tumorherde entfernen konnte. „Zwei solch riesige Tumore – noch dazu in so kurzer Zeit hintereinander – ist für uns bisher einmalig“, sagt Prof. Dr. Hüseyin Bektas.
Vorsorgeuntersuchungen nutzen
So tückisch und zunächst auch schmerzfrei sich einige Krebsformen im Körper ausbreiten könnten, so wichtig sei es, früh zu handeln und etwa die Vorsorgeuntersuchungen gerade zur Krebsfrüherkennung unbedingt wahrzunehmen. „Durch moderne Diagnostik können wir viele Krebserkrankungen heute bereits im Vor- oder Frühstadium entdecken und im Onkologischen Zentrum nach dem neuesten Stand der Medizin therapieren. Es hat sich in der Krebsmedizin in den vergangenen Jahren vieles getan“, sagt Bektas, der das Viszeralonkologische Zentrum in Bremen-Mitte gemeinsam mit dem Gastroenterologen Prof. Dr. Johann Ockenga leitet. Bei der interventionellen Endoskopie zum Beispiel könnten Polypen und Frühstadien heute bereits während der Darm- oder Magenspiegelung entfernt werden, bevor der Krebs sich ausbreiten kann. Nicht nur die möglichen Vorsorgeuntersuchungen sollte man beherzigen: Auch auf bestimmte Symptome sollte man achten, beim Magen zum Beispiel weisen Appetitlosigkeit, Gewichtsverlust und anhaltende Bauchbeschwerden auf ein mögliches Problem hin. Beim Darm sind krampfartige Bauchschmerzen, anhaltender Durchfall oder häufige Verstopfung, vor allem aber Blut im Stuhl Anzeichen dafür, dass man die Beschwerden besser abklären lassen sollte.
Im Viszeralonkologischen Zentrum als Teil des großen Onkologischen Zentrums am Klinikum Bremen-Mitte ist man auf alle Krebserkrankungen von Darm und Magen bis Bauchspeicheldrüse, Galle, Speiseröhre und Leber spezialisiert.
Das könnte Sie auch interessieren
Die aktuelle Ausgabe unseres Magazins gesund mal 4
Erhältlich in Apotheken, Arztpraxen und natürlich in unseren vier Krankenhäusern. Diese Ausgabe ist als Download verfügbar (per Klick auf das Cover)
abgehorcht – die Kolumne
In unserer Kolumne „Abgehorcht“ berichten unsere Autoren über die alltäglichen Versuche gesünder zu leben. Und darüber, warum das am Ende oft doch nicht klappt.
Kolumne „Abgehorcht“ lesen
Beliebteste Beiträge
Gesundheit Nord – Klinikverbund Bremen
Klinikum Bremen-Mitte
St.-Jürgen-Str. 1
28205 Bremen
Fon 0421 497-0
Klinikum Bremen-Nord
Hammersbecker Straße 228
28755 Bremen
Fon 0421 6606-0
Klinikum Bremen-Ost
Züricher Straße 40
28325 Bremen
Fon 0421 408-0
Klinikum Links der Weser
Senator-Weßling-Straße 1
28277 Bremen
Fon 0421 879-0














